Salle de presse
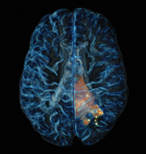
Une sonde portative infaillible en chirurgie du cancer - Photos
Salle de presse
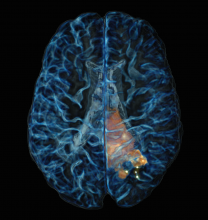
Une sonde portative infaillible en chirurgie du cancer - Photos
Salle de presse
Relations avec les médias
Les professionnels du Service des communications planifient, coordonnent et supervisent les relations qu'entretient Polytechnique Montréal avec les médias.
Christian Merciari
Conseiller en relations médias et porte-parole
Cellulaire : 514 742-8586
christian.merciari@polymtl.ca
Martin Primeau
Conseiller en relations médias et vulgarisateur scientifique
Tél. : 514 340-4711 poste 3669
Cellulaire : 514 805-0797
martin.primeau@polymtl.ca










