Press room
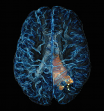
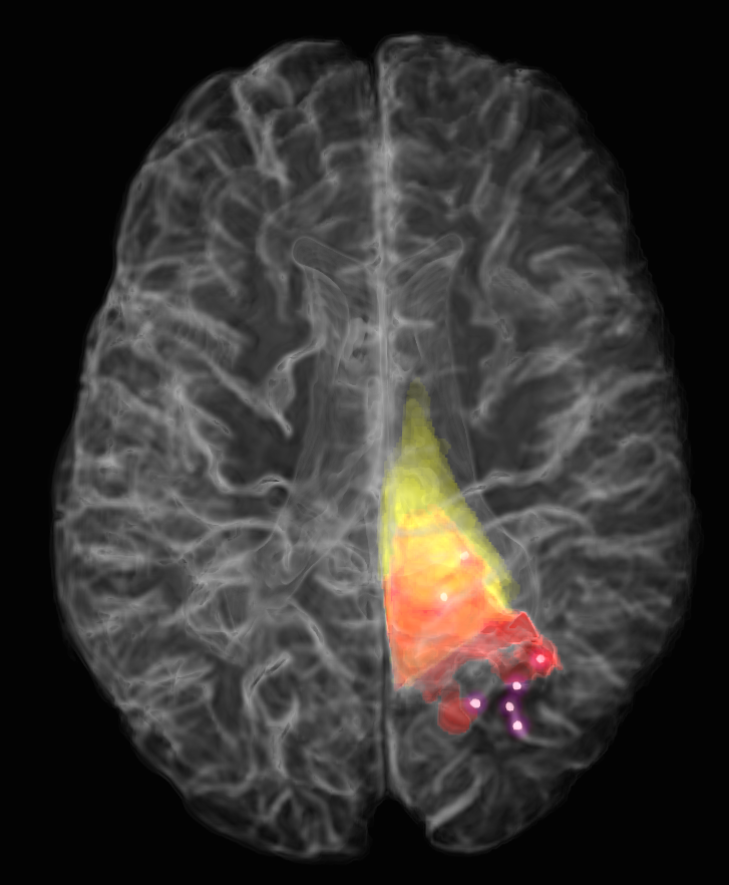
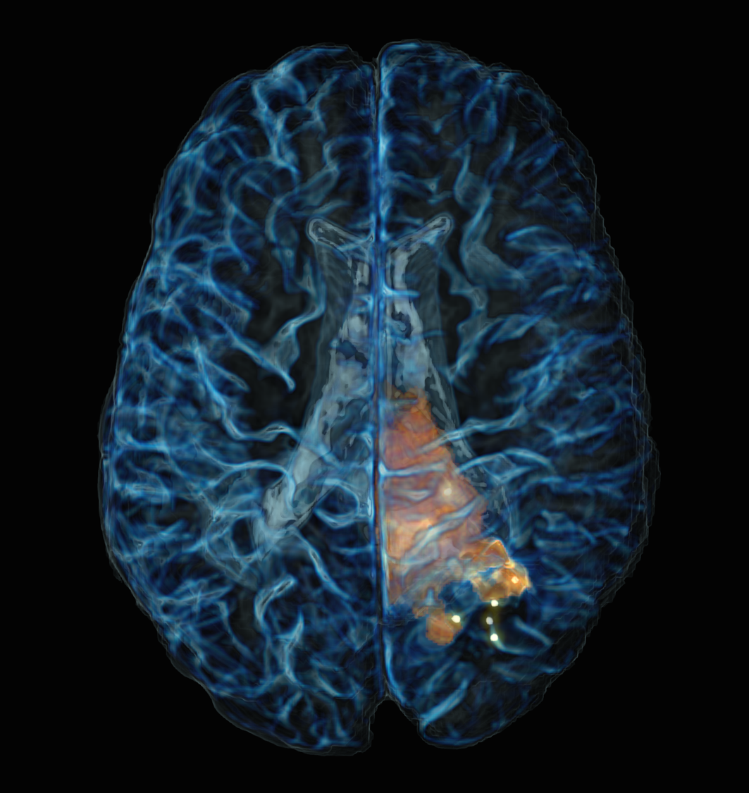
2017 Québec Science Discovery of the Year Award goes to the cancer-detection probe developed by Kevin Petrecca and Frédéric Leblond! - Photos
Press room
2017 Québec Science Discovery of the Year Award goes to the cancer-detection probe developed by Kevin Petrecca and Frédéric Leblond! - Photos
Press room
Media Relations
Communications advisors from the media relations team plan, organize and oversee the relations between Polytechnique Montréal and the media.
Christian Merciari
Communications Advisor
Mobile: 514 742-8586
christian.merciari@polymtl.ca
Martin Primeau
Communications Advisor - Science Outreach
Phone: 514 340-4711 ext. 3669
Mobile: 514 805-0797
martin.primeau@polymtl.ca













